A middle-aged man presented with purulent nasal discharge for 3 months, associated with occasional left-sided facial pain. He had no history of fever or cough, and the only co-morbidity was that of chronic asthma, for which he had been on fluticasone and ventolin inhalers for years. He had seen a number of doctors with no […]

A young previously well man presented with fever, left lower limb pain, erythema and swelling for 3 days. A week ago, he had stepped on a sea urchin while at a regional beach resort, which had resulted in several penetrating injuries to his left foot. He had self-administered first aid at that point, removing several […]

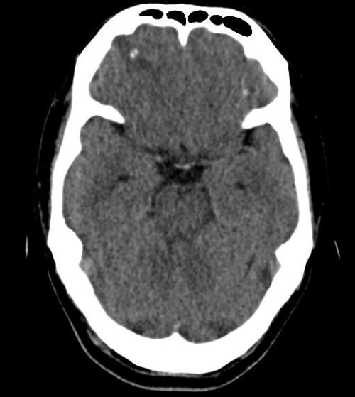
A middle-aged man with palmoplantar keratoderma (see Vignette 83) and who had a cadavaric renal transplant overseas 5 years ago presented with generalized tonic-clonic seizures followed by impaired consciousness. He subsequently recovered with full consciousness, and reported worsening headaches over the past week. Clinical examination showed that he was febrile at 38.4 degrees Celsius, but […]

A middle-aged man who had a cadavaric renal transplant overseas 5 years ago presented with generalized tonic-clonic seizures followed by impaired consciousness. While he was being examined in the emergency department, the rather striking appearance of his palms and soles were observed. (This is not an infectious disease diagnosis)Questions: What is the clinical diagnosis? How […]

A final clinical vignette (for a while, at any rate) before more substantive posts. A middle-aged man with a decades-long history of bronchiectasis presented with worsening cough with productive sputum, decreasing effort tolerance, low grade fever, and weight loss over 2 months. He has no other co-morbid conditions. Chest X-ray showed worsening bilateral infiltrates – […]

An elderly man presented with fever and malaise for a week followed by right buttock pain which was worse on sitting for 2 days. He has well-controlled hypertension and ischemic heart disease. An X-ray of the lumbosacral spine showed narrowing of the L2-L3 disc space following which an MRI of the spine was arranged. Blood […]

A young Indian national presented with his first ever episode of generalized tonic-clonic seizures and was hospitalized. He was previously healthy, vegetarian, and had been based in Singapore for the past 3 years, working in the construction industry. A plain CT head performed at the emergency department showed a spot of calcification at the right […]

A previously healthy young man (early 20’s) presented with severe left-sided sore throat, followed a day later by fever with chills, for 4 days. This was accompanied by lethargy and complete loss of appetite. He had seen a family doctor on the first day and was prescribed painkillers and antipyretics without significant relief. On clinical […]

A late middle-aged gentleman presented with painful left knee swelling for 2 weeks. He had recently been diagnosed with primary autoimmune hemolytic anaemia, for which he was on the final week of a 12-week tapering course of high-dose prednisolone. There was no associated fever or other systemic symptoms. He had not traveled in the preceding […]

More a spot diagnosis than a vignette per se. Urine in the urine bag and tubing. There is no overt bleeding. Question: What condition is being treated here? [Updated 29th September 2017] This is quite a classic – bright orange urine as a result of rifampicin ingestion (for tuberculosis). Sweat and tears may also be […]