
Clinical Vignette 80
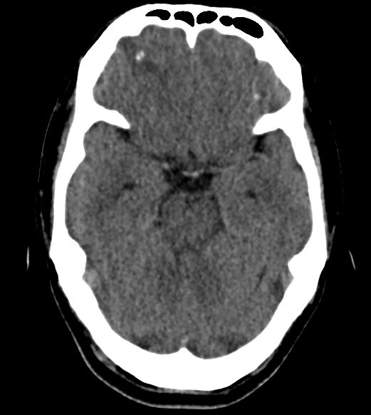
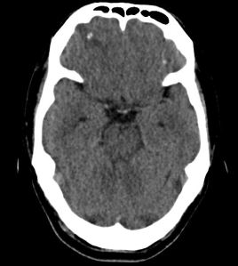
A young Indian national presented with his first ever episode of generalized tonic-clonic seizures and was hospitalized. He was previously healthy, vegetarian, and had been based in Singapore for the past 3 years, working in the construction industry. A plain CT head performed at the emergency department showed a spot of calcification at the right frontal lobe with surrounding oedema.

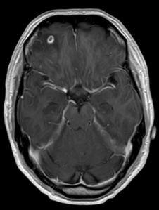
Subsequently, an MRI brain was performed.

Questions:
- What is the most likely cause of the seizures?
- How should the patient be managed?
[Updated 11 February 2018]
In this particular case, the cause of the seizures is almost certainly neurocysticercosis. There are other differentials of course, i.e. central nervous system tuberculoma or meningioma, but they are far less likely.
When eggs of the pork tapeworm Taenia solium are consumed (usually via human faeces-contaminated undercooked or raw vegetables/food), they hatch in the small intestines and the larva migrate all over the body, encysting in different tissues including the brain and muscle. When a cyst (or cysts) in the brain start to degenerate, an inflammatory reaction is incited that triggers off seizures in an otherwise well host.
The primary goal of treatment for neurocysticercosis is the prevention of further seizures (killing the encysted parasites is secondary). Therefore anti-epileptic medications are crucial. Using anti-helminthic agents (such as albendazole or less preferentially praziquantel) will speed up cyst degeneration and shorten the duration of and need for anti-epileptic agents. There is a catch, however. Anti-helminthic agents kill the parasites efficiently and may hence incite a more intense inflammatory reaction which may trigger off more seizures despite anti-epileptic agents, hence corticosteroids are usually preemptively prescribed to minimize this risk.
Here is one of several available guidelines (all of which are largely in concordance).