Menu
Skip to content
About Me
Clinical Vignettes
Outbreaks and Epidemics
Search
Search
MIPHIDIC
Personal infectious diseases blog, focusing in particular on Singapore, antimicrobial resistance, outbreaks, and (occasionally) chess.
February 29, 2016
/
hsuliyang
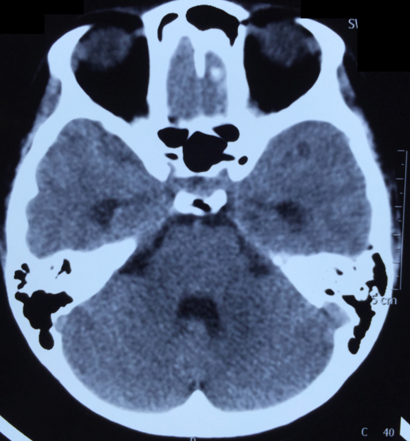
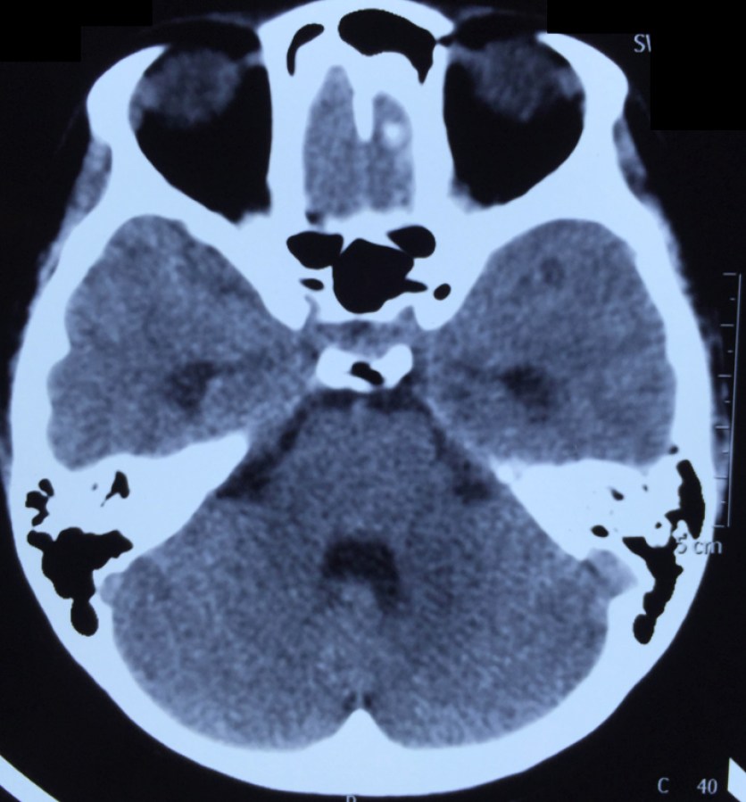
CT-head-2
CT-head-1
Full size is
1418 × 1526
pixels
Comment
Subscribe
Subscribed
MIPHIDIC
Join 85 other subscribers
Sign me up
Already have a WordPress.com account?
Log in now.
MIPHIDIC
Subscribe
Subscribed
Sign up
Log in
Copy shortlink
Report this content
View post in Reader
Manage subscriptions
Collapse this bar