Clinical Vignette 7
An elderly man from Indonesia presented with loss of appetite and weight for 6 weeks, with fever and night sweats for the last 2 weeks. He had no contact history of note, and was previously well. Clinical examination was unremarkable except for a temperature of 38.3 degrees Celsius.
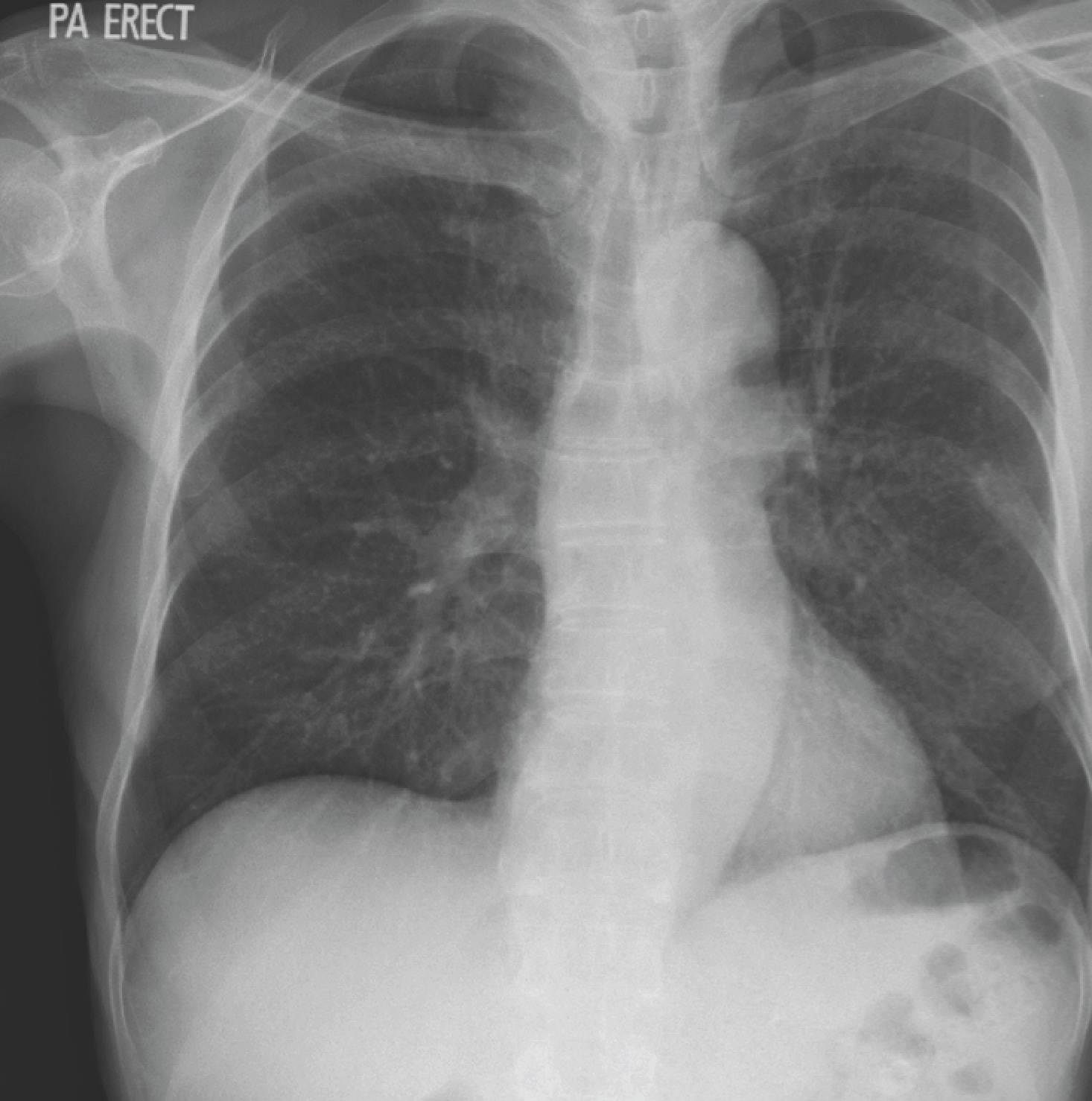
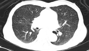
His chest X-ray and a representative cut from the CT thorax is shown below.
Question: What is the diagnosis?
[Updated 15th November 2014]
The CT (it’s much harder to appreciate on the chest X-ray) shows “millet-like” nodules over the lung fields. The second sputum specimen sent was positive for acid-fast bacilli on microscopy, and both sputum samples grew Mycobacterium tuberculosis. This man had miliary tuberculosis, so termed because of the appearance of the many tiny lung nodules on histology. Although the risk of mortality is higher than “ordinary” pulmonary tuberculosis, treatment is the same.

