February 7, 2015 — hsuliyang
Clinical Vignette 20
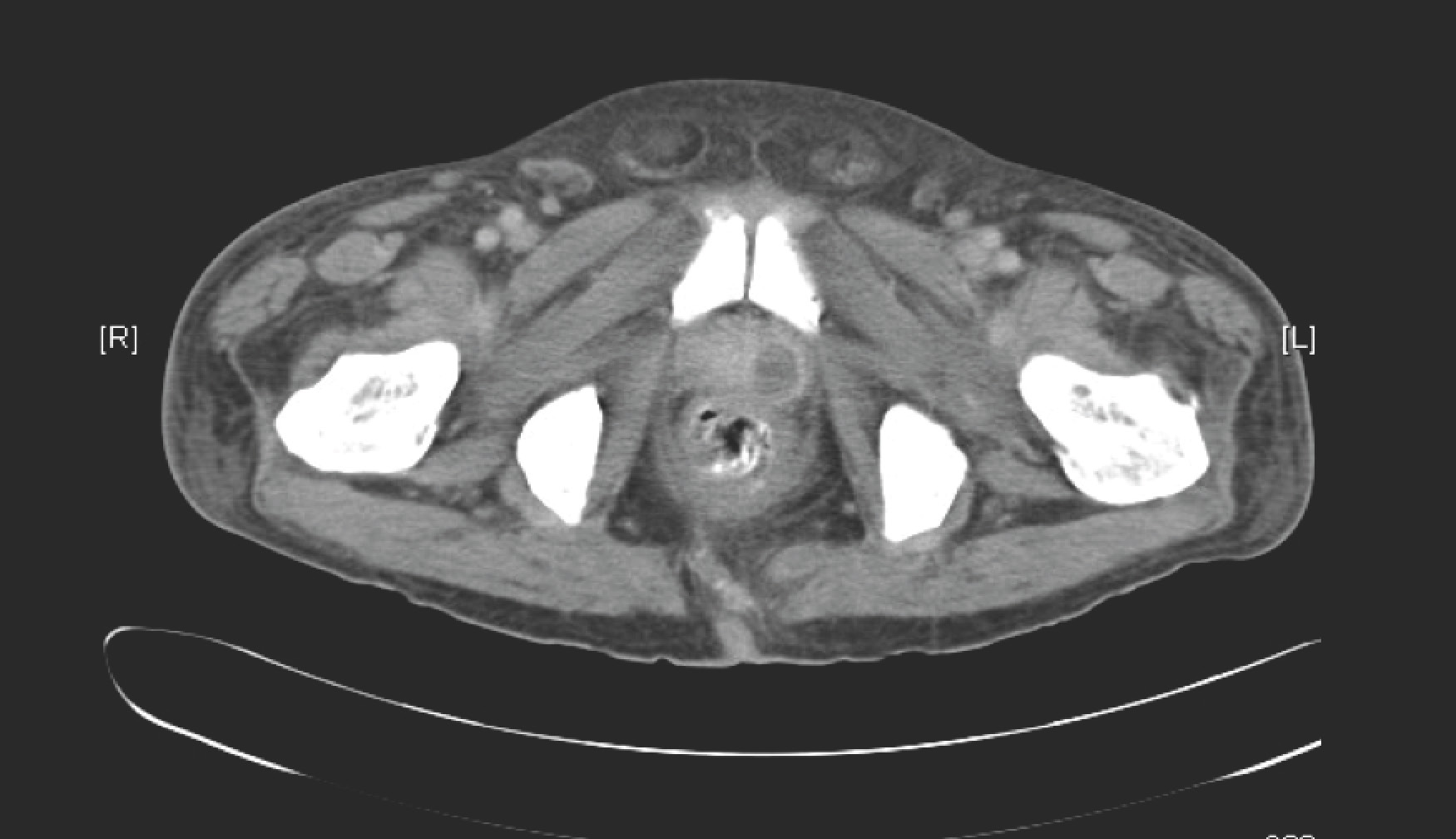
A middle-aged man presented with fever and dysuria for 5 days. He worked as a gardener at a large private housing estate, and suffered from both hypertension and type 2 diabetes mellitus. A CT pelvis was performed, with a representative image shown below.
Question: What is the diagnosis and what is the bacterial aetiology?
The CT showed a hypodense lesion in the left lobe of the prostate, and in this clinical context, represents a prostatic abscess. Given the site of infection and the various risk factors – diabetes mellitus and contact with soil (gardener) – the most likely bacterial aetiology is Burkholderia pseudomallei, the organism that causes melioidosis. I will attempt to discuss melioidosis in a separate post.
