Clinical Vignette 12
This middle-aged man had undergone allogeneic stem cell transplantation (allo-HSCT) for underlying B-cell leukemia. Six months later, he presented with fever and persistent cough for one day. At the emergency department, he was found to have bilateral rhonci, and was significantly tachypneic and hypoxic, requiring BiPAP ventilation in the intensive care unit (ICU). As a result of the allo-HSCT, he was significantly immunocompromised, and was still on both prednisolone and mycophenolate for hepatic graft-versus-host disease (GVHD). The only significant point in the history was that he recalled having a client who was also coughing profusely 3 days before the onset of his symptoms. He had not undergone influenza vaccination (too early in the course of his transplant).
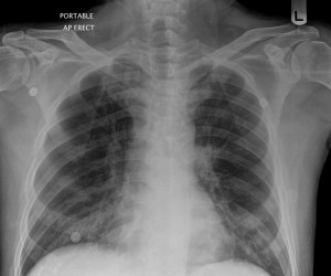
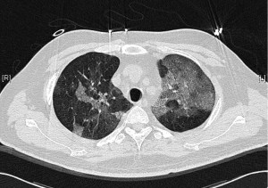
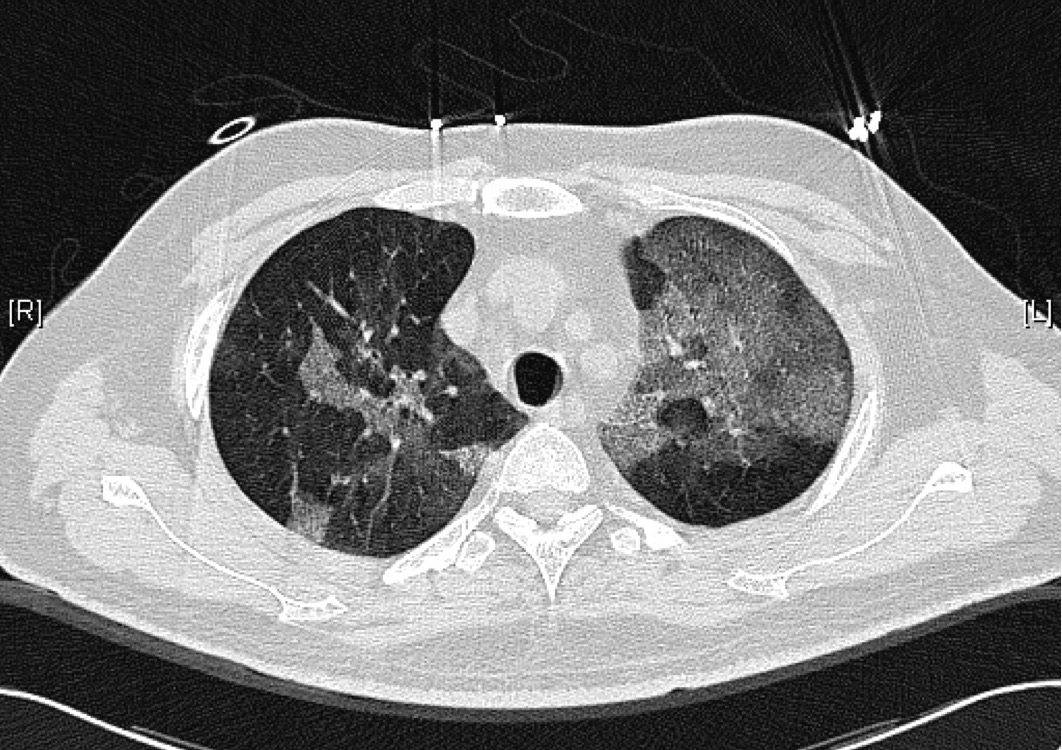
Below are his chest X-ray and a single cut of the CT thorax performed during the early stages of his illness.
The rest of the CT thorax essentially showed the same findings: ground glass changes throughout all lobes of his lungs.
Question: What are the possible etiologies here, and would you prescribe oseltamivir (tamiflu) for this patient?
[Updated 20th December 2014]
Given the clinical history – and especially the contact history – coupled with the radiological appearance, the most likely cause of his illness is a viral pneumonitis. There are more than a handful of viruses that are associated with this condition in a severely immunocompromised patient, but the most common ones are the influenza viruses (influenza A or B) and respiratory syncytial virus (RSV). Oseltamivir is often prescribed empirically or upon confirmation of influenza infection. However, the efficacy of the neuraminidase inhibitors such as oseltamivir and zanamavir against influenza is a highly controversial topic, with no less than a Cochrane review finding no evidence of benefit beyond slight symptom relief. RSV is often treated with ribavirin +/- intravenous immunoglobulin (IVIg), with some suggestion of efficacy using aerosolised ribavirin. Nonetheless, there are no good randomised clinical trials in this area, and ribavirin is a far more toxic drug compared to oseltamivir.
This patient was found to have RSV on PCR multiplex testing of his nasopharyngeal aspirate. By the time the results were received (3 days after the test was done), he was clinically improving and hence was not prescribed ribavirin.


[…] is the same middle-aged man presented in the previous clinical vignette. He had undergone allogeneic stem cell transplantation (allo-HSCT) for underlying B-cell leukemia, […]
LikeLike