Clinical Vignette 26
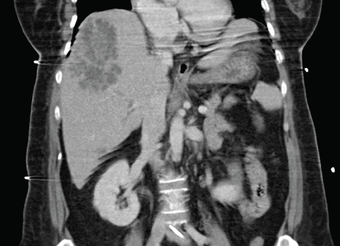
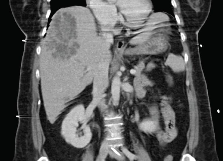
A middle-aged man in his late 50’s presented with fever for 3 days associated with poor appetite and epigastric discomfort. He had been prescribed augmentin by his general practitioner 2 days ago without relief of symptoms. His only premorbid conditions were hypertension and hyperlipidemia, and there was no travel or contact history of significance. Physical examination revealed right hypochondral tenderness, and a CT abdomen was ordered.
Question: What is the diagnosis and how should it be managed?
[Updated 4th April 2015]
In a patient from the community, and in Singapore, this is almost invariably Klebsiella pneumoniae liver abscess. This is the same type of Klebsiella pneumoniae that can cause endophthalmitis as described previously (one can also find some nice pictures and a short microbiological description here).
With the presence of a large liver abscess, drainage is indicated. Years ago, the surgeons from Singapore General Hospital published a “natural history experiment” (surgeons from various surgical teams had different preferences for type of liver abscess drainage) showing that for abscesses that were larger than 5 cm, surgical drainage – as opposed to percutaneous radiologically-guided drainage – resulted in better outcomes in terms of length of stay and number of secondary procedures required. The paper can be read online here. A clinical trial was never performed to validate the results, however, and the lead author of the SGH paper has publicly stated that he felt it would be difficult if not ethically challenging to perform such a trial, because surgical drainage is more invasive and does carry a higher risk compared to percutaneous drainage.
In terms of antibiotic therapy, such patients have traditionally been treated with long course of intravenous antibiotics (usually ceftriaxone). There is an ongoing multi-centre trial in Singapore – initiated by investigators from the National University Hospital – that is evaluating the use of oral ciprofloxacin for the treatment of Klebsiella pneumoniae liver abscess in comparison with intravenous therapy. If oral therapy is shown to give equivalent clinical outcomes, then it is to be preferred as it is more convenient and cheaper for the patients overall.
