Clinical Vignette 35
A man in late middle-age, who in his youth had traveled extensively around the region, presented with nagging right upper abdominal discomfort for 2 weeks. He had no fever. The chest X-ray is shown below.
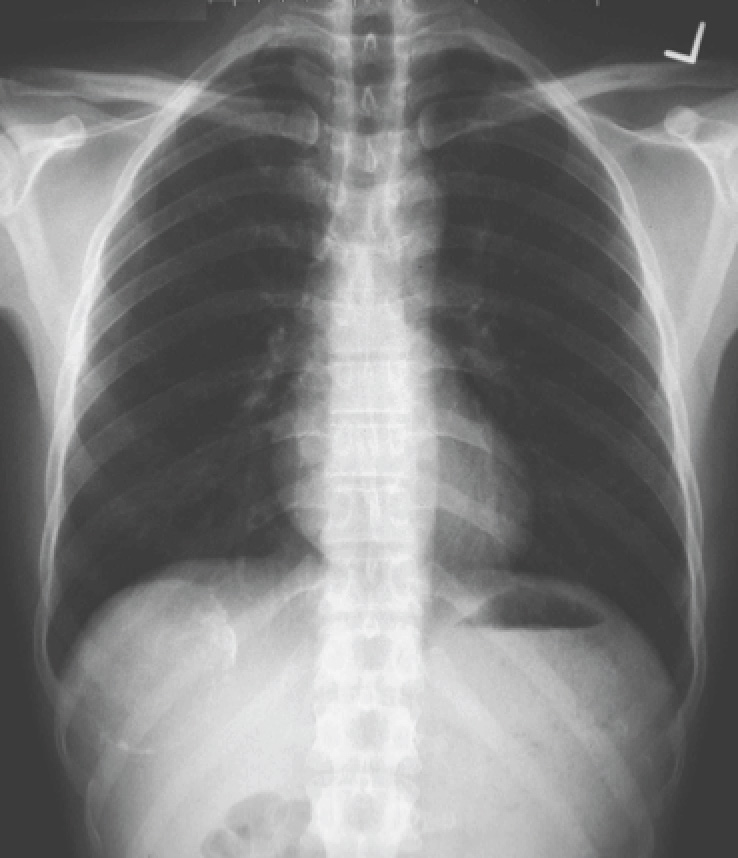
Question: What is the abnormality seen and what infectious disease could this possibly be?
[Updated 6th June 2015]
There is a calcified cyst just below the right hemi-diaphragm. Given the location of the lesion, the question of an infectious disease, and the scope of the patient’s travels, it is likely to be a hydatid cyst. The corresponding CT image is shown below.
Hydatid cysts are the embryonal stages of the dog tapeworm, Echinococcus granulosus. The organism is present worldwide, particularly in sheep-farming areas of the world, although it is not endemic in Singapore or the U.S. Hydatid cysts are generally asymptomatic until they become too big (growing at approximately 1 cm per year), rupture (usually from trauma) or compress critical structures. When calcifications are seen, the hydatid cyst in question is dying (or dead). The cyst can be removed as a whole via surgery – it is important not to rupture the cyst during surgery otherwise an intense allergic/inflammatory response will occur with the spillage of cyst contents into the liver/peritoneum). Experienced radiologists may also perform PAIR (percutaneous aspiration, injection – usually of alcohol or some other sclerosant – and re-aspiration to collapse the cyst) as a less invasive but equally effective treatment of hydatid cysts. But PAIR is not routinely performed with calcified cysts.


X Ray showing calcified margin of a cyst within liver. It might be Hydatid cyst of liver.
LikeLike
That is excellent, Dr Akter!
LikeLike