Clinical Vignette 18
The ECG from Clinical Vignette 17 was actually obtained from the patient described below:
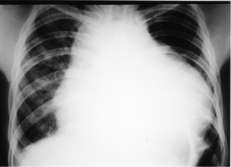
This middle-aged man, a sailor, was transferred to the hospital directly after his ship sailed into port. He had been ill for 2 months, with low-grade fever, weight loss of almost 8 kg, and shortness of breath upon exertion. His chest X-ray is shown below:
Along with the previously-described ECG changes, a diagnosis of cardiac tamponade (from massive pericardial effusion) was made, which was confirmed via urgent trans-thoracic echocardiography. Routine blood investigations performed at the emergency department revealed the following:
- Normal white cell count but significant lymphopenia (low lymphocyte count).
- Normal renal function.
- Hypoalbuminemia with mildly elevated total serum protein and alkaline phosphatase.
He underwent urgent pericardiocentesis, with hemoserous fluid aspirated.
Question 1: What are the possible differential diagnoses for the pericardial effusion?
Question 2: What is the most likely diagnosis (from the differentials above) and underlying diagnosis?
[Updated 31st January 2015]
There are several causes for pericardial effusion/tamponade, including recent heart attack, bacterial or viral infections of the pericardium (pericarditis), cancer that has spread to the pericardium, and trauma (including surgery) to the heart. In this context, given the limited epidemiological and clinical history, it is difficult to ascertain the cause of the pericardial tamponade as well as the underlying diagnosis. But this particular patient had HIV infection (sexual promiscuity is not uncommon among sailors), and the histology of the pericardium was that of chronic granulomatous inflammation, with eventual positive cultures for Mycobacterium tuberculosis complex. He had a pericardial window performed and had TB treatment started after the histology results were known. In those days (1990’s), however, access to HIV treatment was limited, and the patient left the country very shortly after discharge.

[…] The ECG shows short voltages on all leads, and electrical alternans (i.e. alternating taller and shorter voltages) on the long lead 2 at the bottom. These are signs of significant pericardial effusion, and electrical alternans is also an ECG sign for cardiac tamponade. The case is further described in the subsequent clinical vignette. […]
LikeLike